
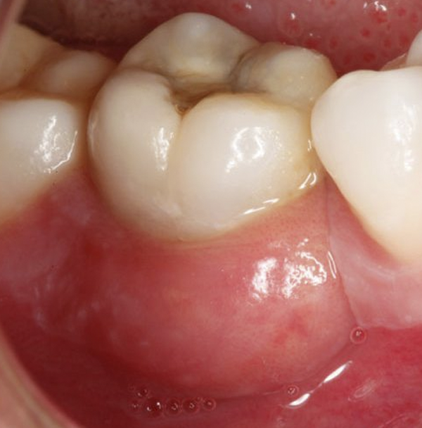
Gingivitis
Es la enfermedad de las encías más frecuentes, caracterizada principalmente por:
- Encías sensibles y sangrantes con facilidad
- Evidente inflamación
- Halitosis (mal aliento).
- Notorio acumulo de placa bacteriana, con coloraciones marrones y negras.
AGENDA UNA CITA

Fracturas dentales
Son roturas de una pieza dental, muchas veces tras sufrir un traumatismo.
Existen diferentes tipos de fractura dental, en función de si solo abarca el esmalte, el esmalte y la dentina o si, además del esmalte y la dentina, también afecta el nervio.
Si tuviste un accidente y te ocasionó una fractura dental no lo dejes así, atiéndete.
Si tuviste un accidente y te ocasionó una fractura dental no lo dejes así, atiéndete.
AGENDA UNA CITA
AGENDA UNA CITA

Dientes chuecos
Son aquellos que erupcionan torcidos, girados o inclinados. Existen varias razones; ya sea por
algún golpe en la boca, por herencia o por chuparse el dedo durante la infancia, un tratamiento
oportuno puede evitar problemas a futuro, como caries, desgaste o maloclusión.
Son el inicio de muchos problemas, tales como:
- Respiración bucal.
- Alergias constantes.
- Irritación o hiperactividad.
AGENDA UNA CITA

Infección o absceso
en un diente
Es una acumulación de material infectado (pus) en el centro de un diente debido a una infección bacteriana.
Puede ocurrir cuando un diente se rompe o está astillado.
Las aberturas en el esmalte dental
permiten que las bacterias infecten el centro del diente (la pulpa).
La infección puede propagarse
desde la raíz del diente hasta los huesos que lo sostienen.
La infección ocasiona una acumulación de pus e inflamación de los tejidos internos del diente. Esto
causa un dolor de muelas.
Causa un dolor de muelas.
La infección ocasiona una acumulación de pus e inflamación de los tejidos internos del diente.
AGENDA UNA CITA

Periodontitis
¿Sabías que la periodontitis es una de las principales causas de pérdida dental?
Es una enfermedad grave de las encías que puede lleva
¡Atención a los síntomas!
- Encías rojas o inflamadas.
- Sangrado de encías.
- Mal aliento persistente.
- Exposición de la raíz del diente.
- Dientes flojos.
- Pérdida de piezas dentales.
son clave para mantener una sonrisa saludable.
AGENDA UNA CITA

Caries
¿Sabías que la periodontitis es una de las principales causas de pérdida dental?
Es una enfermedad grave de las encías que puede lleva
¡Atención a los síntomas!
- Encías rojas o inflamadas.
- Sangrado de encías.
- Mal aliento persistente.
- Exposición de la raíz del diente.
- Dientes flojos.
- Pérdida de piezas dentales.
son clave para mantener una sonrisa saludable.
AGENDA UNA CITA

Ausencia de dientes
Porque estos nunca han llegado a desarrollarse.
Su diagnóstico lo llevamos a cabo en la consulta cuando el paciente presenta alguna de las siguientes situaciones:
¡Atención a los síntomas!
- Encías rojas o inflamadas.
- Sangrado de encías.
- Mal aliento persistente.
- Exposición de la raíz del diente.
- Dientes flojos.
- Pérdida de piezas dentales.
En comparación con el resto de los dientes, todavía se mantienen las piezas de leche.
AGENDA UNA CITA

Dolor de muelas del juicio
Información que se coloca en la parte externa del diseño
Los síntomas más frecuentes son:
- Dolor en la zona de muela.
- Inflamación.
- Enrojecimiento.
- Dolor de cabeza.
- Dolor de oído.
- Mal aliento.
AGENDA UNA CITA

Bruxismo
Es cuando aprietas o rechinas los dientes de forma involuntaria, habitualmente durante la noche, ya que es mucho más difícil de controlar mientras duermes.
Las causas que provocan el bruxismo son varias:
- Estrés.
- lienación de los dientes.
- Capacidad de relajarse de cada uno.
- problemas en la articulación temporomandibular.
- Dieta o la postura al dormir.